
Your tooth fillings can now be the same white color as your smile.
Your fillings now can be virtually undetectable.
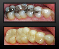
Tooth-colored fillings are a safer and more attractive alternative to older silver amalgam fillings. By precisely matching tooth-colored composite fillings with the natural color of your teeth, Dr. Cassidy is able to provide you with white fillings that are virtually invisible. Replacing silver amalgam fillings with composite tooth colored fillings can provide our patients with a more pleasing 'silver free' smile.
Tooth colored fillings which are made from durable plastics called composite resins. Similar in color and texture to natural teeth, the fillings are less noticeable, and much more attractive, than other types of fillings. Tooth colored fillings are actually bonded to teeth compared to silver / amalgam fillings, which are not. This bonding feature can actually strengthen a tooth and reduce the potential for future cracks or fractures.
How do the tooth colored fillings look?
Tooth colored filling material comes in a great number of colors (shades), and are matched to your individual tooth color. Typically, a different type of material is used for front and back teeth. The materials used for front teeth have a high shine; whereas, the materials for back teeth are designed for strength, but will look great.
For any questions on tooth colored fillings or to schedule an appointment, please call us at 703.370.2333 or email us, and our staff will be happy to assist you.